With over two decades of experience, Dr. Rina Singh is a recognized expert in transforming smiles. She takes immense pride in her work, using her extensive skills and knowledge to deliver exceptional smile makeovers. Dr. Singh’s dedication to her craft ensures that each patient receives a personalized approach, resulting in beautifully enhanced and confident smiles. Her passion for creating stunning, natural-looking transformations has made her a trusted name in smile makeovers.
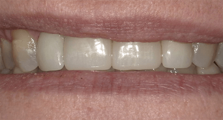
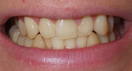
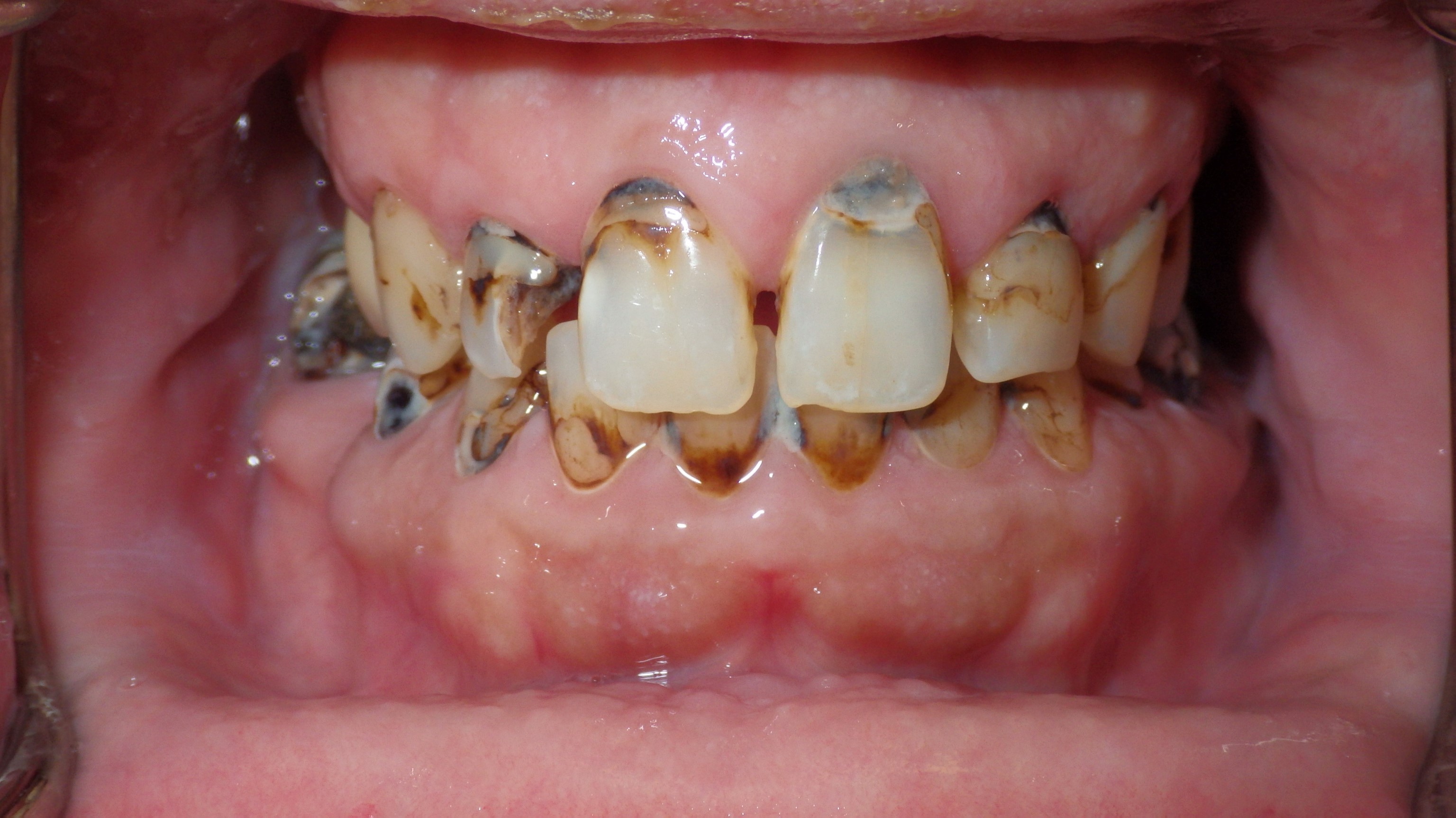
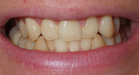
Smile Makeover
A smile makeover is a customized combination of cosmetic dental treatments designed to improve the appearance of your smile. The goal is to address esthetic concerns such as teeth discoloration, misalignment, gaps, and other imperfections, resulting in a more attractive and confident smile. Smile makeovers often involve multiple treatments to achieve a comprehensive enhancement of your dental appearance.

Components of a Smile Makeover in Camp Hill, PA
Teeth Whitening
Teeth whitening is a popular cosmetic procedure that removes stains and discoloration from your teeth, resulting in a brighter and more radiant smile. It can address various staining issues, including those caused by food, beverages, smoking, or aging.
Types of Teeth Whitening
- In-office whitening: This professional treatment involves the application of a high-concentration whitening gel, often activated by a special light or laser, to achieve immediate and dramatic results.
- At-home whitening: Custom whitening trays and professional-grade whitening gel are provided for use at home, bringing convenience and gradual whitening results.
Benefits of Teeth Whitening
- Improved appearance: A brighter smile enhances your overall appearance and boosts self-confidence.
- Quick results: In-office whitening provides fast and noticeable results in a single visit.
- Safe and effective: Professional whitening treatments are designed to minimize sensitivity and deliver optimal results.
Veneers
Dental veneers are thin, custom-made shells of porcelain or composite resin that are bonded to the front surface of your teeth. They are used to cover imperfections, such as chips, cracks, gaps, or discoloration, and provide a natural-looking, esthetically pleasing appearance.
Benefits of Veneers
- Enhanced esthetics: Veneers can dramatically improve the color, shape, and alignment of your teeth.
- Durable and stain-resistant: Porcelain veneers are resistant to staining and can last for many years with proper care.
- Minimally invasive: The process typically requires minimal tooth reduction compared to other restorative options.
Invisalign
Invisalign is a modern orthodontic treatment that uses a series of clear, removable aligners to gradually straighten teeth. Unlike traditional metal braces, Invisalign aligners are virtually invisible and offer a more comfortable and discreet way to achieve a straighter smile.
Benefits of Invisalign
- Esthetic advantage: Clear aligners are less noticeable than traditional braces, allowing you to straighten your teeth without compromising your appearance.
- Comfort: Smooth plastic aligners are gentle on your gums and cheeks, reducing discomfort and irritation.
- Convenience: Aligners are removable, making it easier to maintain oral hygiene and enjoy your favorite foods.
Dental Implants
Dental implants are artificial tooth roots placed into the jawbone to support replacement teeth or bridges. They provide a permanent solution for missing teeth that is natural looking and functional.
Benefits of Dental Implants
- Restored function: Implants provide stability for chewing and speaking, similar to natural teeth.
- Durable and long-lasting: With proper care, dental implants can last for many years and often a lifetime.
- Preserved bone structure: Implants help maintain jawbone density and prevent bone loss associated with missing teeth.
Tooth-Colored Fillings
Tooth-colored fillings, also known as composite fillings, are made from a resin material that matches the color of your natural teeth. They are used to repair cavities or minor damage as a seamless and esthetically pleasing restoration.
Benefits of Tooth-Colored Fillings
- Natural appearance: Composite fillings blend with your natural tooth color, making them less noticeable.
- Versatility: They can be used for both front and back teeth, able to address various cosmetic and restorative needs.
- Bonding strength: Composite fillings bond directly to the tooth structure, enhancing the strength and durability of the restoration.
Gum Contouring
Gum contouring is a cosmetic procedure that reshapes the gum line to create a more balanced and esthetically pleasing smile. It can address issues such as a gummy smile, uneven gumline, or excessive gum tissue.
Benefits of Gum Contouring
- Improved smile esthetics: A well-contoured gumline enhances the overall appearance of your smile and highlights your teeth.
- Enhanced confidence: Addressing gum issues can boost your self-esteem and satisfaction with your smile.
- Minimally invasive: The procedure is typically performed using a laser or surgical technique with minimal discomfort and downtime. Contact us to learn more.
BOTOX
BOTOX, a popular cosmetic treatment known for reducing facial wrinkles, is also used in dentistry to address issues such as TMJ disorders, bruxism (teeth grinding), and gummy smiles. It works by relaxing specific facial muscles to alleviate pain and improve function.
Benefits of BOTOX in Dentistry
- Pain relief: BOTOX can help relieve muscle tension and pain associated with TMJ disorders and bruxism.
- Gummy smile reduction: It can reduce the appearance of a gummy smile by relaxing the muscles that elevate the upper lip.
- Nonsurgical solution: BOTOX is a minimally invasive alternative to more invasive treatments for various dental and cosmetic concerns.
The Smile Makeover Process in Camp Hill, PA

Consultation and Planning
The smile makeover process begins with a detailed consultation to assess your needs, discuss your goals, and create a customized treatment plan. This plan may include a combination of the cosmetic procedures mentioned above, tailored to achieve your desired results.
Treatment Implementation
Once your treatment plan is established, Dr. Rina Singh will proceed with the necessary procedures, which may take multiple visits to complete depending on the complexity of your makeover.
Post-Treatment Care
After your smile makeover, follow-up appointments may be scheduled to monitor your progress and ensure that you are satisfied with the results. Maintaining good oral hygiene and regular dental checkups will help preserve your new smile and overall oral health.
Conclusion
A smile makeover in Camp Hill, PA is a powerful way to enhance the appearance of your smile and boost your confidence. At Rina Singh DDS in Camp Hill, PA, Dr. Rina Singh offers a range of cosmetic dental treatments, including teeth whitening, veneers, Invisalign, dental implants, tooth-colored fillings, gum contouring, BOTOX, and digital imaging, to create a comprehensive and personalized smile transformation.
If you’re ready to achieve the smile of your dreams, contact our office to schedule a consultation. Our team is dedicated to helping you achieve a beautiful, confident smile through tailored cosmetic solutions and exceptional care.
Transform your smile and boost your oral health with expert care from Rina Singh DDS! Call us today at (717) 761-0283 or visit our office at 1902 Market St, Camp Hill, PA, to schedule your appointment and take the first step toward a healthier, brighter smile!
Location
1902 Market St,
Camp Hill, PA 17011
Office Hours
MON - WED8:30 am - 5:30 pm
THU7:30 am - 2:30 pm
FRIBy appointments only
SAT - SUNClosed

